Patients with extensive rehabilitation involve care from multiple medical disciplines, which often present unique and time-consuming considerations. Dr. Horton is trained to manage and appropriately stage the treatment needs of patients with extensive rehabilitation needs. The following cases are examples of some of these cases with a variety of restorative and surgical needs.

Broken or worn teeth

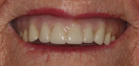
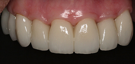
Case One

Before

Case One Before Prosthodontics

After

Case One After Prosthodontics

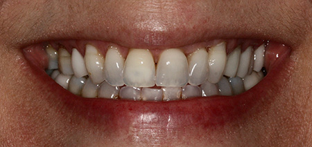
Case Two

Before

Case Two Before Prosthodontics

After

Case Two After Prosthodontics

Subtle smile enhancements

Case One

Before

Case One before smile enhancement

After

Case One after smile enhancement

Case Two

Before

Case Two before smile enhancement

After

Case Two after smile enhancement

Case Three

Before

Case Three before smile enhancement

After

Case Three after smile enhancement

Case Four

Before

Case Four before smile enhancement

After

Case Four after smile enhancement

Case Five

Before

Case five before smile enhancement

After

Case five after smile enhancement

Case Six

Before

Case six before smile enhancement

After

Case sic after smile enhancement

Case Seven

Before

Case seven before smile enhancement

After

Case seven after smile enhancement

Complex rehabilitation

Case One

Before

Case One before rehabilitation

After

Case One after rehabilitation

Case Two

Before

Case two before rehabilitation

After

Case two after rehabilitation

Case Three

Before

Case three before rehabilitation

After

Case three after rehabilitation

Case Four

Before

Case four before rehabilitation

After

Case four after rehabilitation